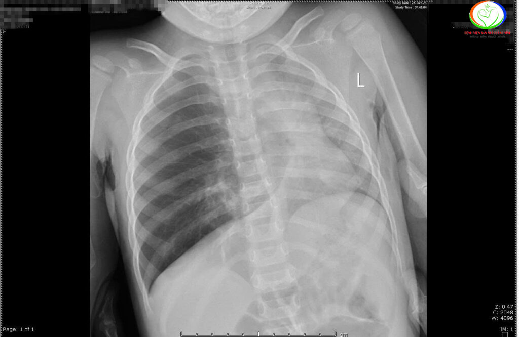
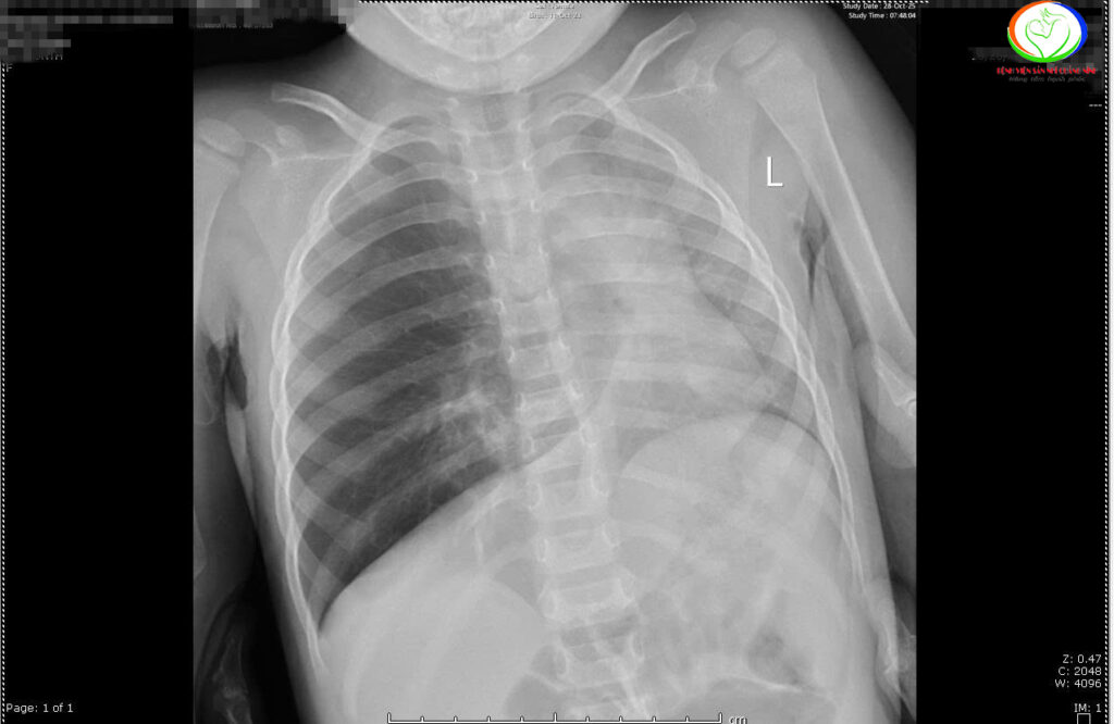
Nội soi khí phế quản phổi gắp dị vật đường thở nguy hiểm cho bệnh nhi 25 tháng tuổi và 29 tháng tuổi tại Bệnh viện Sản Nhi tỉnh Quảng Ninh

Bệnh viện Sản Nhi Quảng Ninh mới đây tiếp nhận một số trường hợp là bé Đ. M. A (29 tháng tuổi), thường trú tại xã Khoái Châu, tỉnh Hưng Yên và bé N.N.L (25 tháng tuổi), trú tại Phường Hà Lầm, tỉnh Quảng Ninh phải nhập viện điều trị vì hóc dị vật nguy […]