"Sức khỏe của bạn- Trách nhiệm của chúng tôi !""

GỌI CẤP CỨU: 0203-3696-466

Chúng tôi luôn thấu hiểu bệnh nhân và luôn cố gắng đáp ứng yêu cầu của bệnh nhân.

Phẫu Thuật Tim Cho Bệnh Nhi 5 Tháng Tuổi Mắc Bệnh Lý Tim Bẩm Sinh Tại Bệnh Viện Sản Nhi Quảng Ninh

Ngày 07/10 vừa qua, các bác sĩ tại Bệnh viện Sản Nhi Quảng Ninh đã tiến hành phẫu thuật hồi sinh trái tim cho bệnh nhi nữ 05 tháng tuổi, có hộ khẩu thường trú tại đặc khu Vân Đồn, được chẩn đoán suy tim độ 3, tăng áp động mạch phổi trung bình, do tồn tại ống động mạch lớn.

Theo thông tin khai thác bệnh sử của trẻ, bệnh nhi khi sinh được phát hiện có hội chứng Down, gần đây trẻ xuất hiện thở nhanh, chậm tăng cân nên gia đình cho trẻ đi khám nhập viện.

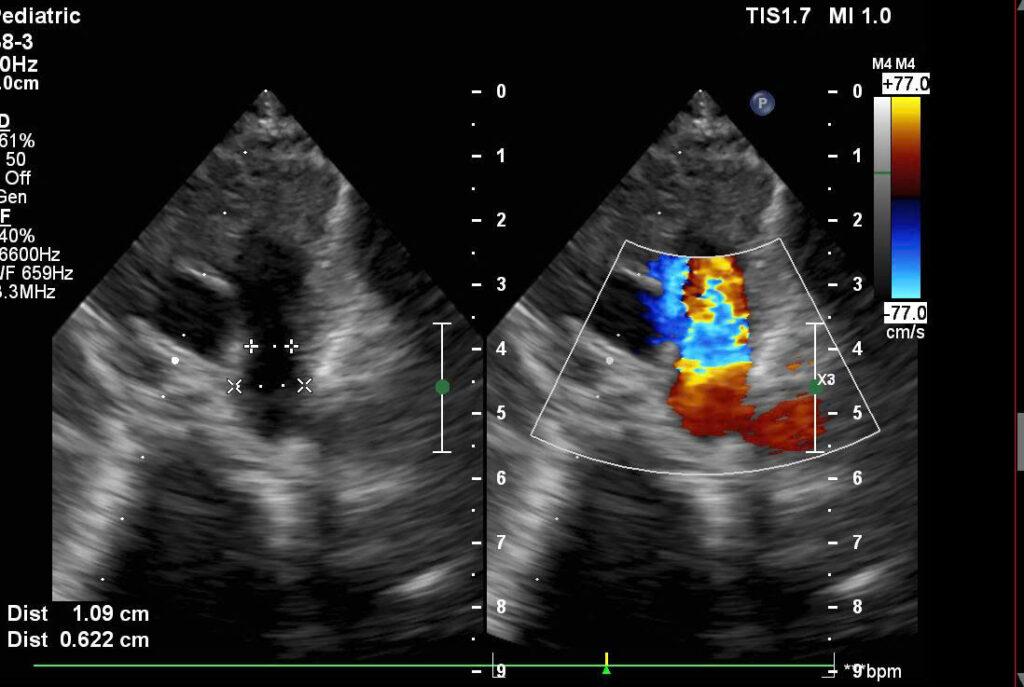
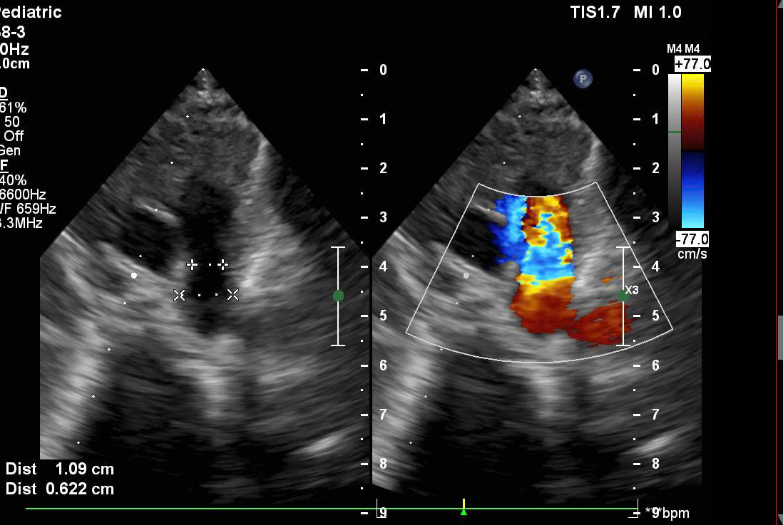
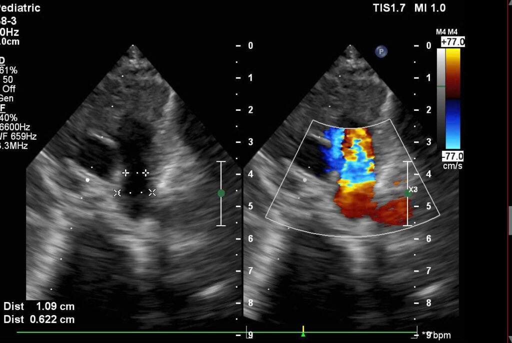
Từ các kết quả cận lâm sàng và Siêu âm Doppler tim, van tim cho thấy trẻ còn ống động mạch lớn đường kính phía phổi 4.6mm, đường kính phía chủ 9.1mm, hở van ba lá trung bình, Pgmax qua van ba lá 57mmhg; điện tim thường: nhịp xoang tần số 128 chu kỳ/phút; Các bác sĩ đã hổi chẩn chuyên khoa và chỉ định phẫu thuật bệnh tim bẩm sinh đóng ống động mạch, phương pháp Gây mê nội khí quản.

Kíp phẫu thuật do BSCKII Trịnh Trương Tuyên- Trưởng khoa Ngoại- chuyên khoa; BSCKI. Nguyễn Văn Luyện- Khoa Ngoại chuyên khoa; BS Đặng Thị Dung- Khoa Gây mê hồi tỉnh; điều dưỡng Bùi Thị Thu Thảo; Hoàng Văn Huấn…thực hiện.

Sau phẫu thuật, bệnh nhi được chuyển khoa Hồi sức tích cực chăm sóc và dõi đặc biệt. Đến nay sau 6 ngày điều trị tích cực, sức khỏe trẻ đã bình phục, các chỉ số sinh tồn đều ổn định và vừa được ra viện.

BSCKII Trịnh Trương Tuyên- Trưởng khoa Ngoại- chuyên khoa cho biết: Tình trạng còn tồn tại ống động mạch thường được phát hiện ở nhiều trẻ giai đoạn sau sinh. Phần lớn tự đóng ống & một số ít bệnh nhi được dùng thuốc giúp đóng ống động mạch hoặc can thiệp tim mạch bít ống. Bệnh nhi ống động mạch lớn sẽ được phẫu thuật để có được trái tim khỏe mạnh bình thường. Nếu bỏ xót tổn thương này ống động mạch lớn về lâu dài sẽ gây tổn thương phổi không phục hồi. Đời sống bệnh nhi không vượt qua tuổi trưởng thành. Vì vậy khi trẻ có tình trạng chậm ăn chậm lớn nghi ngờ bệnh lý tim bẩm sinh cần được kiểm tra bởi các bác sĩ chuyên khoa tim mạch Nhi khoa.

Việc làm chủ các kỹ thuật hiện đại trong can thiệp tim bẩm sinh đã giúp Bệnh viện Sản Nhi Quảng Ninh tiếp tục triển khai sâu rộng can thiệp tim mạch cho các bệnh nhân mắc tim bẩm sinh trên địa bàn tỉnh và các khu vực lân cận, giảm chi phí cho người bệnh, đặc biệt bệnh nhân không phải chuyển tuyến mổ như trước, thể hiện nỗ lực của ngành Y tế trong nâng cao chất lượng khám, điều trị cho người dân.

HỎI ĐÁP VÀ PHẢN ÁNH DỊCH VỤ

Bệnh viện sẽ giải đáp các câu hỏi và trả lời phản ánh sớm nhất đến quý bệnh nhân.