Bệnh viện Sản Nhi Quảng Ninh mới đây tiếp nhận một số trường hợp là bé Đ. M. A (29 tháng tuổi), thường trú tại xã Khoái Châu, tỉnh Hưng Yên và bé N.N.L (25 tháng tuổi), trú tại Phường Hà Lầm, tỉnh Quảng Ninh phải nhập viện điều trị vì hóc dị vật nguy hiểm tại đường hô hấp
Theo gia đình bệnh nhi Đ.M.A cho biết 4 ngày nay trẻ thở rít, khò khè tăng dần nên đưa trẻ đi khám. Còn bệnh nhi N.N.L 1 tuần trước khi vào viện có biểu hiện ho đờm, uống thuốc kháng sinh không đỡ nên vào Bệnh viện Sản Nhi Quảng Ninh thăm khám.

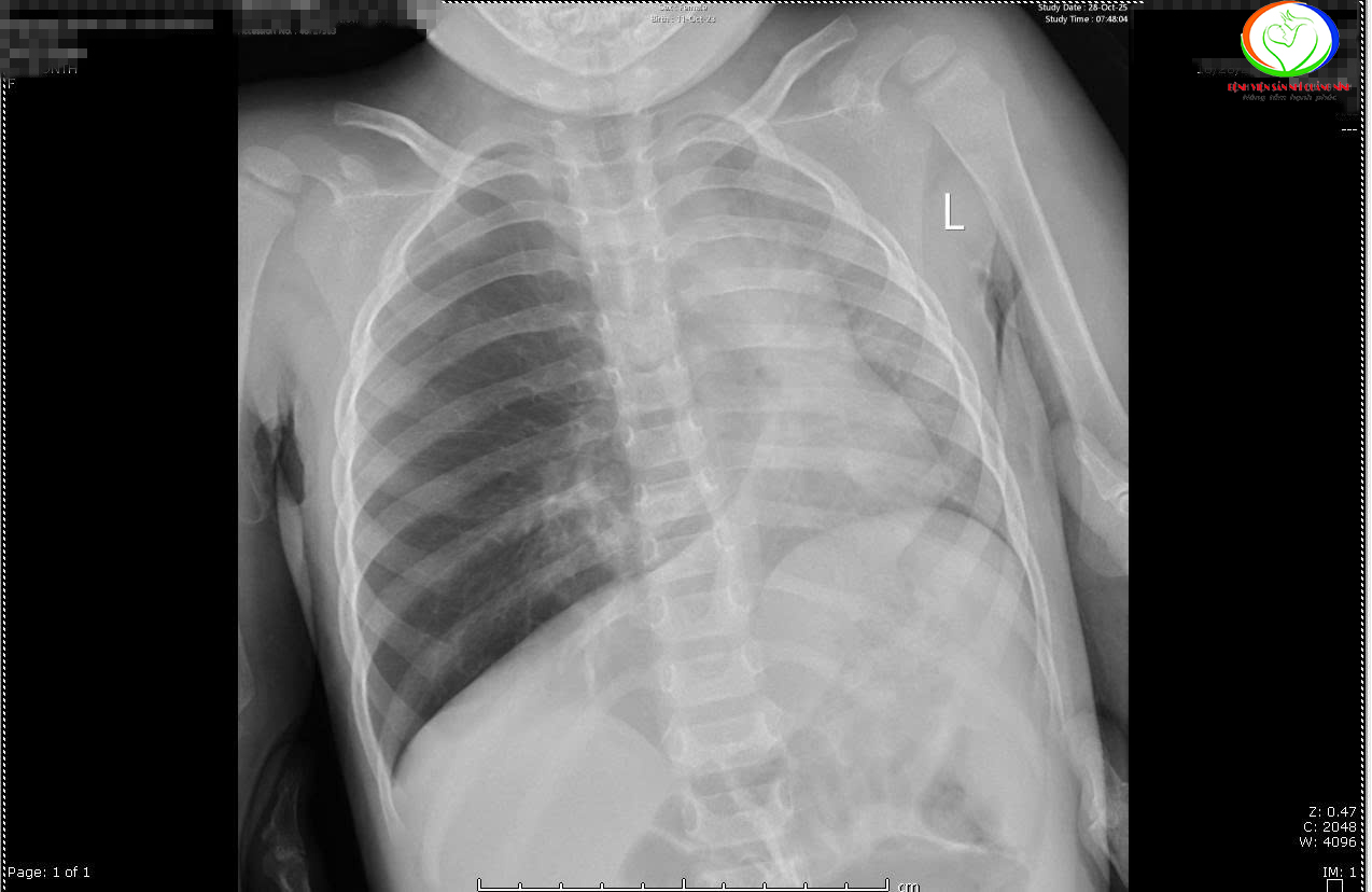
Qua phim chụp X –quang cho thấy các trẻ có hình ảnh ứ khí, mờ quanh rốn phổi. Riêng bệnh nhi N.N.L phổi trái giảm thể tích, kém sáng, xẹp phổi dạng dài thùy dưới phổi phải. Các bác sĩ đã hội chẩn khẩn cấp và chỉ định nội soi khí thanh phế quản cấp cứu gắp dị vật cho trẻ.
Kết quả nội soi ghi nhận tại phế quản gốc phải bệnh nhi N.N.L có dị vật hạt lạc kích thước 0,5×0,7cm, gây bít tắc hoàn toàn phế quản gốc phải; Còn bệnh nhi Đ.M.A, dưới dây thanh khoảng 3cm phát hiện có dị vật mắc trong khí quản là mảnh xương cá kích thước 1,5x1cm gây xung huyết niêm mạc, xuất hiện dịch, phù nề thanh quản.

Với sự thận trọng và tập trung cao, các bác sĩ đã tiến hành gắp dị vật ra an toàn cho trẻ. Kíp can thiệp do bác sĩ Nông Văn Mạnh, Lê Cảnh Nhật khoa Hô hấp – Tim mạch – Tiêu hóa- Thần kinh, BS Lương Trung Kiên, Ngô Đức Danh và các kỹ thuật viên khoa Gây mê hồi tỉnh thực hiện. Sau thủ thuật sức khỏe các trẻ đều bình phục tốt và vừa được xuất viện

Theo BSNT. Nông Văn Mạnh chia sẻ: Thời gian gần đây, đang có dấu hiệu gia tăng số trẻ nhập viện tại Bệnh viện Sản Nhi Quảng Ninh để điều trị vì hóc các dị vật đường thở, đường tiêu hóa là mảnh thức ăn lớn, cứng, sắc nhọn như hạt lạc hay mảnh xương cá … gây tổn thương, viêm phù nề khí phế quản phổi, đường tiêu hóa, làm bít tắc đường thở, nguy hiểm đến tính mạng, sức khỏe của các bé.

Các bác sĩ khuyến cáo, các bậc phụ huynh cần cẩn thận trong lựa chọn đồ ăn cho con, hướng dẫn con ăn để giảm thiểu các nguy cơ có vật cứng trong đồ ăn của trẻ, trong đó đặc biệt lưu ý lúc ăn :
– Lọc xương kỹ khi cho trẻ ăn cá, cho trẻ ăn từng miếng nhỏ và dạy trẻ nhai kỹ
– Hướng dẫn trẻ ăn chậm, không nuốt vội.
– Tránh cho trẻ nô đùa, mất tập trung khi ăn rất dễ hóc, sặc, nuốt nhầm thức ăn lớn, sắc nhọn như mảnh xương, hạt lạc, hạt trái cây….mà không để ý
– Không nên cho các cháu bé chơi các loại đồ vật có kích thước nhỏ, sắc nhọn dễ làm cho các bé tò mò rồi bỏ vào miệng ngậm, nuốt làm các bé sẽ bị dị vật gây ra hậu quả đáng tiếc.
– Nếu nghi ngờ trẻ hóc dị vật, hãy ngừng cho trẻ ăn ngay, dỗ trẻ bình tĩnh, cố gắng xác định vị trí dị vật